Trauma to the upper or lower limbs is a common cause of peripheral nerve damage. Accidents, injury and conditions such as diabetes and chronically high blood pressure are also common causes of peripheral neuropathy nerve damage. Patients' quality of . . .
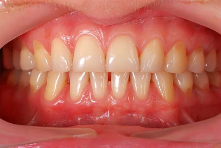
What Causes Receding Gums – And What Can You Do About It?
Many people have receding gums, and this complaint – part functional and part cosmetic – tends to become more common as people age. The condition is so common, in fact, that many people simply assume that it’s a normal sign of aging, particularly . . .
13 Health Benefits of Marijuana That Everyone Should Know
Thinking of trying cannabis? Worried about all the negative press? Here are some health-focused counterpoints to help you make up your mind. After years of being villainized by the media, you would be forgiven for thinking that marijuana was bad . . .


